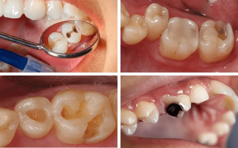
Sâu răng là một trong những vấn đề răng miệng rất nhiều người gặp phải hiện nay. Tuy nhiên, một số bệnh nhân để sâu răng kéo dài dẫn đến cấu trúc răng bị phá hủy. Nổi bật nhất là hiện tượng răng bị sâu lỗ to, vết sâu ngày càng lan rộng. Lúc này, nhiều người sẽ nghĩ rằng hiện tượng này có thể khắc phục bằng việc trám răng. Vậy thực tế răng bị sâu lỗ to có trám được không? Hãy cùng Nha khoa DrGreen tìm hiểu và giải đáp chi tiết trong bài viết này
Răng sâu lỗ to là hiện tượng gì?
Trước khi tìm hiểu răng bị sâu lỗ to có trám được không thì cần biết rõ răng sâu lỗ to là gì. Răng là tình trạng nghiêm trọng xảy ra khi vi khuẩn tấn công. Sau đó phá hủy cấu trúc răng trong thời gian dài mà không điều trị kịp thời. Quá trình này khiến các lỗ hổng trên bề mặt răng ngày càng rộng và sâu hơn. Từ đó gây ra sự suy giảm đáng kể về chức năng và hình dạng của răng.
Lỗ sâu lớn thường xuất hiện phổ biến ở các răng hàm, đặc biệt là các răng cối. Điều này do vị trí của những chiếc răng này ở sâu trong khoang miệng. Từ đó khiến việc vệ sinh trở nên khó khăn. Hơn nữa, do các răng này thường không dễ quan sát. Theo thời gian các lỗ sâu nhỏ ban đầu có thể không được phát hiện ngay lập tức.
Thông thường người bệnh chỉ để ý chỉ khi tình trạng sâu răng trở nên nghiêm trọng. Nổi bật với các triệu chứng như đau nhức hoặc khó chịu. Sâu răng với lỗ to không chỉ ảnh hưởng trực tiếp đến thẩm mỹ của hàm răng. No còn tiềm ẩn nhiều nguy cơ nghiêm trọng đối với sức khỏe răng miệng, bao gồm:
- Đau nhức, có thể lan ra xung quanh và ảnh hưởng đến các dây thần kinh trong vùng miệng.
- Viêm nhiễm nghiêm trọng có thể dẫn đến tình trạng chết tủy răng. Làm mất khả năng phục hồi tự nhiên của răng.
- Nhiễm trùng trong khoang miệng. Nếu không được điều trị kịp thời ảnh hưởng đến sức khỏe toàn thân.

Răng bị sâu lỗ to có trám được không?
Răng bị sâu lỗ to có trám được không là câu hỏi phổ biến của nhiều bệnh nhân. Đặc biệt bệnh nhân bị sâu răng khi đến thăm khám tại các cơ sở nha khoa. Theo các chuyên gia, một số tình trạng sâu răng còn ở giai đoạn nhẹ. Lúc này lớp mô răng chưa bị sâu tới tủy. Vì thế bác sĩ thường chỉ định phương pháp trám hoặc hàn răng. Đây là giải pháp hiệu quả giúp phục hồi nhanh chóng cấu trúc răng bị hư tổn. Đồng thời bảo vệ răng trước sự tấn công của vi khuẩn.
Trám răng là một trong những phương pháp điều trị sâu răng phổ biến. Tất cả nhờ vào chi phí hợp lý và quy trình thực hiện nhanh chóng. Phương pháp này phù hợp với những trường hợp răng sâu chưa nghiêm trọng. Thông qua đó giúp bệnh nhân duy trì sức khỏe răng miệng nhanh chóng và hiệu quả tốt. Đồng thời không cần biện pháp điều trị phức tạp như điều trị tủy hay bọc răng sứ.
Tuy nhiên, để đạt được hiệu quả tối ưu, bệnh nhân cần thường xuyên kiểm tra sức khỏe răng miệng và thực hiện vệ sinh đúng cách. Thông qua đó kéo dài tuổi thọ của miếng trám. Đồng thời bảo vệ răng khỏi các vấn đề tiềm tàng.

Răng sâu lỗ to như thế nào thì có thể trám được?
Vừa rồi chúng ta đã biết được rằng răng bị sâu lỗ to có trám được không. Tuy nhiên, tùy trường hợp cụ thể thì răng sâu lỗ to mới có thể trám được. Cụ thể các trường hợp như sau
Răng bị sâu lỗ to mức độ nhẹ
Đây là tình trạng khi lỗ sâu mới xuất hiện, có kích thước nhỏ và chưa lan rộng. Ở giai đoạn này, các bác sĩ sẽ chỉ định phương pháp trám răng. Thông qua phục hồi và bảo vệ răng khỏi sự xâm nhập của vi khuẩn. Kỹ thuật trám răng sử dụng các vật liệu nha khoa chuyên dụng. Trong đó phổ biến nhất là Composite, để lấp đầy lỗ sâu.
Điều này không chỉ giúp khôi phục cấu trúc ban đầu của răng. Nó còn ngăn ngừa sự xâm nhập của vi khuẩn và các mảnh thức ăn vào trong lỗ sâu. Thông qua đó giảm thiểu nguy cơ viêm nhiễm hoặc tổn thương thêm cho răng.

Răng sâu lỗ to mức độ nặng
Một số lỗ sâu đã lớn nhưng chưa gây viêm nhiễm hoặc ảnh hưởng đến tủy răn. Lúc này bác sĩ vẫn có thể áp dụng phương pháp trám răng để khôi phục răng. Tuy nhiên, đối với những trường hợp này, trám răng vẫn là một lựa chọn khả thi. Tuy nhiên khi áp dụng thực tế thì không phải là giải pháp tối ưu. Do kích thước lỗ sâu lớn, diện tích cần trám sẽ rộng. Thông qua đó làm giảm độ bám dính của vật liệu trám.
Vì vậy, khi chịu tác động của lực ăn nhai, miếng trám có thể bị bong tróc. Hoặc xuống cấp nhanh chóng sau một thời gian ngắn. Để đảm bảo độ bền và tính ổn định, phương pháp bọc răng sứ sẽ là lựa chọn tốt hơn. Phương pháp này giúp bảo vệ răng khỏi sự tái phát của sâu răng và các tổn thương khác.

Răng sâu lỗ to lan đến tủy
Khi tình trạng sâu răng trở nên nghiêm trọng, vi khuẩn có thể xâm nhập vào tủy răng. Từ đó gây viêm nhiễm lan rộng và làm tổn thương nghiêm trọng cấu trúc răng. Trong những trường hợp này, nếu không thể phục hồi răng, bác sĩ sẽ chỉ định nhổ răng. Điều này giúp ngăn ngừa lây lan của viêm nhiễm và tránh các biến chứng nguy hiểm.
Sau khi nhổ răng, bạn cần phục hồi chức năng ăn nhai và thẩm mỹ của hàm răng. Vì thế bệnh nhân có thể lựa chọn phương pháp cấy ghép Implant. Implant không chỉ giúp thay thế răng mất một cách hiệu quả. Nó còn duy trì sự ổn định lâu dài cho sức khỏe răng miệng. Đồng thời đem lại vẻ đẹp tự nhiên cho nụ cười.

Quy trình thực hiện trám răng cho răng bị sâu lỗ to
Bước 1: Thăm khám tổng quát
Bác sĩ sẽ tiến hành thăm khám toàn diện để đánh giá mức độ sâu răng. Đồng thời xác định các vấn đề liên quan đến răng miệng. Thông qua đó lựa chọn phương pháp điều trị phù hợp. Trong quá trình này, bác sĩ cũng sẽ tư vấn về loại vật liệu trám răng tối ưu. Tất cả dựa trên tình trạng răng và nhu cầu thẩm mỹ của bệnh nhân.
Bước 2: Vệ sinh răng miệng
Đây là bước quan trọng nhằm đảm bảo môi trường miệng sạch sẽ. Từ đó giảm thiểu nguy cơ nhiễm trùng trong quá trình điều trị. Bệnh nhân sẽ được yêu cầu vệ sinh răng miệng kỹ lưỡng. Đồng thời yêu cầu sử dụng nước súc miệng chuyên dụng. Thông qua đó loại bỏ hoàn toàn các mảng bám và thức ăn thừa trong khoang miệng.

Buớc 3: Tiến hành trám răng
Trước khi tiến hành trám, bác sĩ sẽ sử dụng dụng cụ chuyên dụng. Thông qua đó làm sạch và loại bỏ các mảng thức ăn còn sót lại trong lỗ sâu. Tất cả đảm bảo khu vực cần trám hoàn toàn sạch sẽ. Sau đó, bác sĩ sẽ tiến hành tạo hình xoang trám để tạo một nền tảng vững chắc cho vật liệu trám. Bước tiếp theo, bác sĩ sẽ đưa vật liệu trám đã chọn vào vị trí lỗ sâu. Vật liệu trám này sẽ ở dạng lỏng lúc ban đầu. Sau đó sẽ đông cứng lại sau khi được chiếu Laser. Tất cả đảm bảo sự kết dính chắc chắn với cấu trúc răng.
Bước 4: Điều chỉnh và tạo hình
Lúc này vật liệu trám được đưa vào vị trí lỗ sâu. Bác sĩ sẽ tiến hành điều chỉnh hình dạng và cắt bỏ phần vật liệu dư thừa. Vết trám sẽ được tạo hình sao cho phù hợp với cấu trúc tự nhiên của răng. Đảm bảo bề mặt nhẵn bóng, không có bất kỳ điểm gồ ghề hay cộm gây khó chịu. Đồng thời giữ được tính thẩm mỹ cao, không ảnh hưởng đến chức năng ăn nhai.

Xem thêm:
Trên đây là lời giải đáp cho thắc mắc răng bị sâu lỗ to có trám được không. Cùng với đó là các trường hợp cụ thể và quy trình trám răng chi tiết. Để được tư vấn cụ thể, hãy liên hệ Nha khoa DrGreen theo thông tin bên dưới
Hotline: 0936.996.609
Fanpage: https://www.facebook.com/nhakhoadrgreen
Website: nhakhoadrgreen.vn
Hệ thống Nha khoa Dr Green:
- 40B Lạch Tray, Ngô Quyền, Hải Phòng
- HDS11 Vinhomes Marina, Lê Chân, Hải Phòng
- 38 Tân Dương, Thủy Nguyên, Hải Phòng
- 43 Trần Phú, Cẩm Phả, Quảng Ninh












