
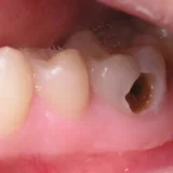
Chữa răng sâu không đau là một trong những vấn đề được nhiều người quan tâm hiện nay. Răng sâu không chỉ gây khó chịu mà còn

Cấy implant bao lâu là một trong những câu hỏi được nhiều người đặt ra khi có ý định phục hồi răng đã mất. Quy trình cấy

Răng sứ Zirconia là gì? Răng sứ Zirconia là một loại vật liệu nha khoa dùng để chế tạo răng giả, phục hình răng. Nó được chế

Lấy cao răng có hiệu quả là một trong những vấn đề được nhiều người quan tâm khi nói đến sức khỏe răng miệng. Việc duy trì

Cách chăm sóc răng sau khi niềng là một phần rất quan trọng trong quá trình điều trị chỉnh nha. Khi bạn đã trải qua một thời

Đánh răng xong vẫn hôi miệng là vấn đề mà nhiều người gặp phải, gây ra sự khó chịu và ảnh hưởng đến giao tiếp hàng ngày.











