
Chữa nha chu tại nhà là một phương pháp được nhiều người quan tâm, đặc biệt khi muốn duy trì sức khỏe răng miệng tốt mà không

Thành phố Hải Phòng ngày càng phát triển, nhu cầu làm đẹp, chăm sóc sức khỏe răng miệng cũng vì thế mà tăng mạnh. Tuy nhiên, việc

Cầu răng là một trong những phương pháp phục hình răng đã được áp dụng phổ biến nhất hiện nay nhằm khôi phục lại chức năng ăn

Trám răng sâu là một trong những phương pháp phổ biến và hiệu quả nhất để khắc phục các tình trạng răng bị sâu nhẹ đến trung

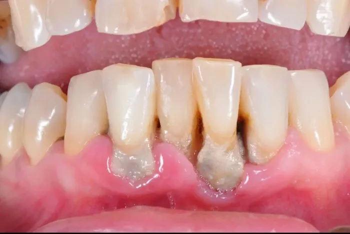
Viêm nha chu là một trong những bệnh lý răng miệng khá phổ biến, có thể gây ra nhiều biến chứng nếu không được phát hiện và

Nước muối súc miệng là một phương pháp dân gian quen thuộc và phổ biến để chăm sóc sức khỏe răng miệng. Không chỉ dễ dàng thực











