4.7/5 - (482 bình chọn)

Hiện nay, một số người để tình trạng răng bị sâu kéo dài dẫn đến biến chứng nặng nề. Trong đó, răng bị lủng lỗ là triệu chứng phổ biến của việc sâu răng kéo dài. Lúc này vi khuẩn đã tấn công sẽ khiến lớp men răng bị tổn thương. Theo thời gian thì mô răng bị phá hủy, dẫn đến tình trạng răng bị lủng lỗ. Vậy đâu là nguyên nhân răng bị lủng lỗ? Cách trị răng bị lủng lỗ tại nhà như thế nào cho có hiệu quả? Hãy cùng Nha khoa DrGreen tìm hiểu chi tiết trong bài viết này

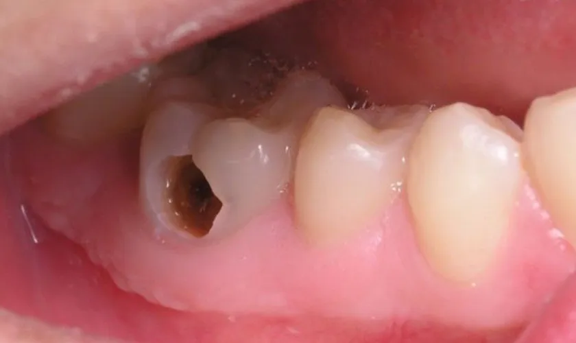
Răng bị lủng lỗ là gì?

Trước khi tìm hiểu cách trị răng bị lủng lỗ tại nhà cần biết răng bị lủng lỗ là gì. Răng bị lủng lỗ là một tình trạng tổn thương răng thường bắt đầu với các lỗ nhỏ trên bề mặt men răng. Những lỗ nhỏ này tạo điều kiện thuận lợi cho vi khuẩn phát triển. Chúng tiếp tục tấn công lớp men bảo vệ, làm cho lỗ thủng mở rộng theo thời gian. Khi không được điều trị kịp thời, vi khuẩn có thể xâm nhập sâu vào lớp ngà răng. Thậm chí đến tủy răng, gây viêm nhiễm và đau nhức nghiêm trọng.

Càng trì hoãn việc điều trị, cấu trúc răng sẽ bị tổn hại nghiêm trọng hơn. Quá trình phá hủy này không chỉ ảnh hưởng đến răng bị tổn thương. Nó còn có nguy cơ lan sang các răng lân cận. Từ đó dẫn đến những vấn đề nghiêm trọng hơn về sức khỏe răng miệng. Tình trạng răng bị lủng lỗ có thể xảy ra ở bất kỳ vị trí nào trong khoang miệng. Tuy nhiên phổ biến nhất là ở các khu vực khó vệ sinh. Chẳng hạn như giữa các răng, răng hàm hoặc gần viền nướu.

Đây là những nơi vi khuẩn dễ dàng bám vào và hình thành mảng bám. Đặc biệt khi răng của bạn không được làm sạch đúng cách. Để ngăn chặn tình trạng này, việc duy trì thói quen vệ sinh răng miệng tốt vô cùng quan trọng. Ngoài ra, bạn cần thăm khám nha khoa định kỳ và điều trị sớm các vấn đề răng miệng.

Răng bị lủng lỗ là gì?

Nguyên nhân khiến răng bị lủng lỗ phổ biến

Vệ sinh răng miệng không chuẩn

Việc vệ sinh răng miệng không đúng cách hoặc không đều đặn là nguyên nhân chính dẫn đến sự tích tụ của vi khuẩn trong khoang miệng. Lúc này vi khuẩn phát triển cùng với sự hình thành của mảng bám. Chúng sẽ sản xuất axit làm mòn men răng và gây ra các lỗ sâu trên bề mặt răng.

Nếu mảng bám không được loại bỏ kịp thời, nó sẽ cứng lại thành cao răng. Cao răng không chỉ là nơi trú ngụ lý tưởng của vi khuẩn. Nó còn gây ra các vấn đề nghiêm trọng hơn. Ví dụ như viêm nướu, chảy máu chân răng và hôi miệng. Từ đó ảnh hưởng trực tiếp đến sức khỏe và thẩm mỹ răng miệng.

Chế độ ăn uống nhiều đường

Đường là nguồn dinh dưỡng chính cho vi khuẩn gây sâu răng. Khi bạn tiêu thụ thực phẩm và đồ uống chứa nhiều đường, vi khuẩn trong khoang miệng sẽ lên men. Quá trình đường lên men sẽ chuyển hóa thành Axit. Axit này làm suy yếu men răng và bắt đầu phá hủy cấu trúc răng. Từ đó dẫn đến đến lỗ sâu và hư hỏng nghiêm trọng.

Duy trì một chế độ ăn uống lành mạnh, hạn chế đường là vô cùng quan trọng. Đồng thời tăng cường các thực phẩm có lợi cho răng miệng như rau xanh, sữa và các sản phẩm giàu canxi. Đây là giai đoạn rất quan trọng để ngăn ngừa sâu răng.

Chế độ ăn uống nhiều đường

Tình trạng thiếu nước hoặc khô miệng

Nước bọt đóng vai trò quan trọng trong việc làm sạch bề mặt răng, trung hòa axit. Đồng thời ngăn ngừa sự phát triển của vi khuẩn trong khoang miệng. Khi xảy ra tình trạng khô miệng, lượng nước bọt suy giảm đáng kể. Từ đó khiến vi khuẩn và axit dễ dàng tấn công men răng. Theo thời gian sẽ dẫn đến tổn thương và hình thành lỗ sâu.

Nguyên nhân gây khô miệng bao gồm:

  • Tác dụng phụ của thuốc: Một số loại thuốc như thuốc chống co thắt cơ. Hoặc thuốc chống trầm cảm và thuốc kháng histamin.
  • Quá trình lão hóa: Sự suy giảm chức năng tuyến nước bọt ở người lớn tuổi.
  • Bệnh lý: Các bệnh như tiểu đường, Parkinson hoặc hội chứng Sjögren đều có thể gây khô miệng.

Tổn thương do chấn thương bên ngoài

Ngoài sâu răng, các chấn thương bên ngoài cũng là nguyên nhân phổ biến khiến răng bị thủng lỗ hoặc gãy. Những chấn thương này có thể xảy ra do:

  • Tai nạn giao thông.
  • Va đập mạnh trong sinh hoạt hàng ngày.
  • Tham gia các môn thể thao đối kháng hoặc mạo hiểm.
  • Thói quen nghiến răng kéo dài, gây áp lực lớn lên bề mặt răng và làm hỏng men răng.

Việc sử dụng các biện pháp bảo vệ như mang dụng cụ bảo vệ răng khi chơi thể thao hoặc điều trị thói quen nghiến răng là cần thiết. Từ đó bảo vệ răng miệng khỏi những tổn thương không mong muốn.

Tổn thương do chấn thương bên ngoài

Cách trị răng bị lủng lỗ tại nhà an toàn và hiệu quả

Cách trị răng bị lủng lỗ tại nhà bằng nước muối

Nước muối loãng là một cách trị răng bị lủng lỗ tại nhà an toàn và đơn giản. Đặc biệt là đối với những trường hợp răng có lỗ do sâu. Nước muối có khả năng kháng khuẩn và sát trùng. Thông qua đó giúp loại bỏ vi khuẩn gây hại trên bề mặt răng và nướu. Từ đó làm giảm cảm giác đau nhức tạm thời.

Để thực hiện, bạn chỉ cần hòa tan 1/2 muỗng cà phê muối vào một cốc nước ấm. Tại đây bạn hãy khuấy đều cho muối tan hoàn toàn. Sau đó sử dụng dung dịch này để súc miệng trong khoảng 1-2 phút. Việc súc miệng này sẽ giúp làm sạch khu vực bị tổn thương. Đồng thời giảm bớt sự khó chịu do cơn đau gây ra.

Cách trị răng bị lủng lỗ tại nhà bằng nước muối

Cách trị nhức răng có lỗ tại nhà chiết xuất Vani

Cách trị răng bị lủng lỗ tại nhà bằng Vani nhờ vào các đặc tính chống oxy hóa. Ngoài ra chiết xuất Vani có tính chất kháng viêm và kháng khuẩn. Chúng đã được ứng dụng trong việc giảm đau nhức răng hiệu quả. Những tính chất này không chỉ giúp ngăn ngừa sự phát triển của vi khuẩn. Nó còn hỗ trợ quá trình chữa lành vết thương.

Để sử dụng, bạn chỉ cần nhỏ một vài giọt tinh chất vani. Tại đây bạn nhỏ nhẹ nhàng lên vùng răng bị sâu hoặc tổn thương. Các hợp chất trong vani sẽ giúp làm dịu cơn đau. Đồng thời giảm tình trạng viêm nhiễm do vi khuẩn gây ra.

Cách trị nhức răng có lỗ tại nhà chiết xuất Vani

Nha đam hỗ trợ trị nhức răng sâu lỗ to hiệu quả

Gel nha đam (lô hội) có khả năng kháng khuẩn mạnh mẽ. Đây là một phương pháp và cách trị răng bị lủng lỗ tại nhà giúp giảm đau hiệu quả. Ngoài ra, nha đam còn có tác dụng ức chế sự phát triển. Đặc biệt là các vi khuẩn trong khoang miệng. Từ đó giảm nguy cơ viêm nhiễm và cải thiện tình trạng sức khỏe răng miệng.

Để điều trị nhức răng do sâu, bạn có thể thoa trực tiếp gel nha đam lên vùng răng bị tổn thương. Sau khoảng 10 phút, bạn có thể sử dụng nước sạch để súc miệng lại. Cách này sẽ giúp làm dịu cơn đau và mang lại cảm giác thoải mái hơn.

Nha đam hỗ trợ trị nhức răng sâu lỗ to hiệu quả

Cách trị răng bị lủng lỗ tại nhà bằng chườm đá

Chườm đá lạnh là một cách trị răng bị lủng lỗ tại nhà an toàn và hữu hiệu. Việc sử dụng đá lạnh giúp làm co mạch máu. Từ đó hạn chế sự kích thích của dây thần kinh. Đồng thời làm giảm lưu lượng máu đến khu vực răng bị tổn thương. Thông qua đó giúp giảm cơn đau hiệu quả.

Bạn chỉ cần cho đá lạnh vào một chiếc khăn sạch. Sau đó chườm lên vùng mặt có răng đau trong khoảng 5-10 phút. Phương pháp này không chỉ giúp giảm đau nhanh chóng. Nó còn giúp làm dịu cảm giác khó chịu do cơn đau nhức gây ra.

Cách trị răng bị lủng lỗ tại nhà bằng chườm đá

Cách trị nhức răng có lỗ tại nhà bằng lá ổi

Lá ổi non được biết đến với tác dụng kháng khuẩn và giảm viêm. Đây là cách trị nhức răng có lỗ tại nhà giúp làm dịu cơn đau răng do sâu. Để thực hiện phương pháp này, bạn cần chuẩn bị từ 5 đến 7 lá ổi non. Sau khi rửa sạch, bạn cho lá ổi vào miệng và nhai trực tiếp.

Sau đó, dùng lưỡi đẩy phần lá ổi vào vị trí răng bị sâu. Đồng thời giữ nguyên trong khoảng 10 phút. Cuối cùng, súc miệng lại với nước sạch để loại bỏ các tạp chất còn sót lại. Phương pháp này giúp giảm đau nhức. Từ đó hạn chế sự phát triển của vi khuẩn trong khoang miệng.

Chữa sâu răng lỗ tại nhà bằng gừng hoặc tỏi

Gừng và tỏi đều là những nguyên liệu tự nhiên có khả năng sát khuẩn. Đồng thời chúng có hợp chất kháng viêm mạnh mẽ. Vì thế nó rất hữu ích trong việc giảm đau và ngăn ngừa vi khuẩn gây sâu răng. Nếu sử dụng gừng, bạn có thể giã nhỏ một ít gừng tươi cùng một ít muối. Sau đó đắp hỗn hợp lên vùng răng bị đau.

Với tỏi, bạn giã nhỏ tỏi cùng muối, sau đó chưng lên lấy nước ép và bôi lên vùng răng bị tổn thương. Để đạt hiệu quả tốt nhất, bạn nên thực hiện phương pháp này đều đặn 2-3 lần mỗi ngày. Tuy nhiên, người có vấn đề về hơi thở (hôi miệng) nên hạn chế sử dụng phương pháp này.

Chữa sâu răng lỗ tại nhà bằng gừng hoặc tỏi

Cách trị răng bị lủng lỗ tại nhà với nghệ

Nghệ là một nguyên liệu có chứa Curcumin. Đây là một hợp chất có khả năng kháng viêm và sát trùng mạnh mẽ. Vì thế chúng có tác dụng tương đương với một số loại thuốc kháng sinh. Khi răng bị lủng lỗ và đau nhức, bạn có thể sử dụng bột nghệ làm cách trị răng bị lủng lỗ tại nhà. Tại đây bạn hãy chấm vào vị trí răng bị đau.

Nếu muốn hiệu quả tốt hơn, bạn có thể giã nghệ tươi. Sau đó lấy phần nước để bôi lên vùng răng đau. Thực hiện vài lần, bạn sẽ cảm nhận được sự giảm đau rõ rệt. Đồng thời hỗ trợ quá trình lành vết thương trong khoang miệng.

Cách chữa răng bị lủng lỗ bằng chanh và cam

Chanh và cam là những loại quả giàu vitamin C và axit.  Chúng có đặc tính kháng khuẩn rất hiệu quả trong việc điều trị sâu răng. Bạn có thể vắt nước cốt chanh hoặc cam. Sau đó ngậm trong miệng khoảng 2-3 phút để giảm đau và loại bỏ vi khuẩn.

Tuy nhiên, do tính axit cao, bạn không nên lạm dụng cách trị răng bị lủng lỗ tại nhà này. Thông qua đó tránh làm mòn men răng. Mỗi ngày chỉ nên thực hiện 1-2 lần là đủ. Từ đó đạt hiệu quả mà không gây hại cho răng miệng.

Cách chữa răng bị lủng lỗ bằng chanh và cam

Cách trị răng bị lủng lỗ tại nhà với cúc vàng

Hoa cúc vàng cũng được biết đến như một phương pháp tự nhiên hiệu quả trong cách trị răng bị lủng lỗ tại nhà. Để sử dụng, bạn cần chuẩn bị khoảng 5 bông cúc vàng. Tại đây bạn cánh và rửa sạch, sau đó để ráo nước. Bạn có thể nhai cánh hoa trong miệng khoảng 2 phút. Sau đó súc miệng lại với nước sạch.

Hoặc, bạn cũng có thể hãm hoa cúc với nước sôi. Tiếp theo sử dụng hỗn hợp này để súc miệng hàng ngày. Phương pháp này không chỉ giúp giảm đau. Nó còn hỗ trợ làm sạch khu vực bị tổn thương. Đồng thời ngăn ngừa vi khuẩn phát triển.

Xem thêm:

Trên đây là các cách trị răng bị lủng lỗ tại nhà an toàn và hiệu quả nhất. Cùng với đó là nguyên nhân khiến răng bị lủng lỗ. Để được tư vấn cụ thể, hãy liên hệ Nha khoa DrGreen theo thông tin bên dưới

Hotline: 0936.996.609

Fanpage: https://www.facebook.com/nhakhoadrgreen

Website: nhakhoadrgreen.vn

Hệ thống Nha khoa Dr Green:

  1. 40B Lạch Tray, Ngô Quyền, Hải Phòng
  2. HDS11 Vinhomes Marina, Lê Chân, Hải Phòng
  3. 38 Tân Dương, Thủy Nguyên, Hải Phòng
  4. 43 Trần Phú, Cẩm Phả, Quảng Ninh