Trong cuộc sống hiện đại ngày nay, tình trạng nhức răng có lỗ trở thành nỗi ám ảnh của nhiều người. Không chỉ gây đau đớn, nó còn ảnh hưởng lớn đến sinh hoạt hàng ngày, thậm chí gây ra các biến chứng nghiêm trọng nếu không được chăm sóc đúng cách. Cách trị nhức răng có lỗ không phải lúc nào cũng cần đến can thiệp y tế gấp, nhiều phương pháp tại nhà dưới đây sẽ giúp giảm đau và duy trì sức khỏe răng miệng. Tuy nhiên, để phòng ngừa tái phát và đảm bảo hiệu quả lâu dài, sự phối hợp giữa các biện pháp điều trị chuyên nghiệp và thay đổi thói quen sinh hoạt là điều vô cùng cần thiết.

Nguyên nhân gây nhức răng có lỗ
Để có cách trị nhức răng có lỗ phù hợp, việc hiểu rõ nguyên nhân gây ra tình trạng nhức răng có lỗ là điều tối quan trọng. Các yếu tố chủ yếu xuất phát từ quá trình sâu răng không được kiểm soát kịp thời hoặc các vấn đề liên quan đến viêm tủy, nhiễm trùng. Mỗi nguyên nhân đều mang đặc điểm riêng biệt, đòi hỏi cách xử lý phù hợp, chuyên biệt.
Khi nhận biết rõ nguyên nhân, bạn không chỉ có thể chọn lựa những phương pháp giúp giảm đau hiệu quả hơn mà còn chủ động phòng tránh được các tình huống xấu có thể xảy ra trong tương lai.

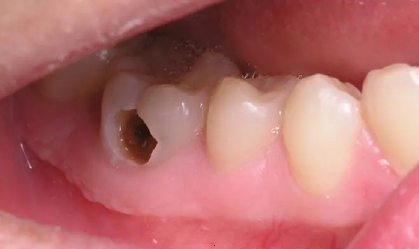
Do sâu răng làm vi khuẩn tấn công men răng và ngà răng
Sâu răng là nguyên nhân phổ biến nhất dẫn đến việc hình thành lỗ trên răng và gây ra cảm giác đau nhức khó chịu. Quá trình này bắt đầu từ sự tích tụ của mảng bám, chủ yếu do vi khuẩn có khả năng phân hủy đường và tinh bột trong thức ăn. Khi mảng bám không được làm sạch đúng cách, vi khuẩn phát triển mạnh, tạo ra axit ăn mòn men răng, phá hủy lớp bảo vệ bên ngoài của răng.
Tiếp theo, vi khuẩn sẽ tấn công vào ngà răng, khu vực chứa nhiều dây thần kinh, gây ra cảm giác đau nhức dữ dội. Nếu không điều trị kịp thời, lỗ sâu răng ngày càng lớn, mở rộng phạm vi tổn thương và gia tăng nguy cơ nhiễm trùng, gây ra những ảnh hưởng nghiêm trọng hơn cho sức khỏe toàn diện của răng miệng.
Xem thêm: Hậu quả của sâu răng: Nghiêm trọng hơn bạn nghĩ!
Do viêm tủy hoặc nhiễm trùng nặng khi lỗ sâu không được điều trị kịp thời
Khi lỗ sâu răng phát triển nặng, vi khuẩn có thể xâm nhập sâu vào tủy răng, nơi chứa dây thần kinh và mạch máu. Quá trình này dẫn đến viêm tủy, một tình trạng viêm nhiễm nghiêm trọng, gây ra những cơn đau nhức dữ dội, kéo dài và khó kiểm soát.
Viêm tủy không chỉ gây đau, mà còn làm tổn thương cấu trúc răng, dẫn đến tình trạng nặng hơn như abscess (áp xe răng). Nếu không chữa trị kịp thời, vi khuẩn có thể lan rộng xuống các mô mềm quanh răng, gây ra các biến chứng nghiêm trọng khác, thậm chí làm mất răng hoặc ảnh hưởng đến các cơ quan lân cận. Chính vì vậy, việc phát hiện sớm và điều trị đúng cách là điều cần thiết để tránh sự phức tạp của bệnh lý.
Cách giảm đau nhức tạm thời tại nhà
Trong những trường hợp đau nhức răng cấp tính, chưa thể đến nha khoa ngay lập tức, cách trị nhức răng có lỗ bằng các biện pháp giảm đau tại nhà sẽ giúp bạn kiểm soát cảm giác khó chịu, duy trì cuộc sống sinh hoạt bình thường.
Việc lựa chọn phương pháp phù hợp giúp bạn giảm nhẹ triệu chứng đồng thời tạo điều kiện thuận lợi để đi khám và điều trị chuyên sâu. Những thủ thuật đơn giản này sẽ giúp bạn thoát khỏi cảm giác đau đớn tạm thời và cảm thấy dễ chịu hơn trong chốc lát.

Súc miệng bằng nước muối ấm hoặc nước gừng để kháng khuẩn, giảm đau
Súc miệng bằng nước muối ấm là một trong những biện pháp dân gian đơn giản nhưng rất hiệu quả trong việc giảm cảm giác đau nhức răng do tác dụng kháng khuẩn, làm sạch vùng viêm nhiễm. Nước muối giúp tiêu diệt phần lớn vi khuẩn trú ngụ trong khoang miệng, giảm sưng tấy và ngăn ngừa tình trạng nhiễm trùng lan rộng.
Áp dụng đều đặn mỗi ngày 2-3 lần trong vòng vài phút, bạn sẽ cảm nhận rõ sự giảm đau và an tâm hơn. Ngoài ra, dùng nước gừng cũng có tác dụng chống vi khuẩn, giảm viêm và làm dịu cơn đau. Gừng chứa các hoạt chất tự nhiên như gingerol có khả năng chống viêm, hỗ trợ làm giảm cảm giác ê buốt và cảm giác nóng rát trong miệng.
Xem thêm: Ngậm nước muối xong có cần rửa lại không? Giải đáp chi tiết
Dùng đá lạnh chườm ngoài má hoặc uống thuốc giảm đau theo hướng dẫn
Chườm đá là biện pháp nhanh nhất để giảm sưng tấy, tê liệt tạm thời dây thần kinh, từ đó làm giảm cảm giác đau răng. Bạn chỉ cần lấy một túi đá hoặc khăn lạnh, bọc lại rồi chườm nhẹ nhàng ngoài khu vực má cạnh răng bị đau trong vòng 15-20 phút. Phương pháp này giúp hạn chế dòng máu đến vùng viêm, giảm sưng và cảm giác đau rõ rệt.
Song song, việc sử dụng các loại thuốc giảm đau không kê đơn như paracetamol hoặc ibuprofen theo đúng liều lượng hướng dẫn của bác sĩ hoặc dược sĩ sẽ giúp kiểm soát tốt các cơn đau. Tuy nhiên, lưu ý không lạm dụng thuốc và luôn đảm bảo an toàn khi dùng các loại thuốc này, tránh tác dụng phụ hay tương tác không mong muốn.
Biện pháp điều trị lâu dài và phòng ngừa
Sau khi giảm đau tạm thời tại nhà, việc đưa ra cách trị nhức răng có lỗ điều trị dài hạn và phòng ngừa là bước cần thiết để duy trì sức khỏe răng miệng, tránh tái phát và hạn chế tối đa các biến chứng nguy hiểm. Đến nha khoa để xử lý đúng các tổn thương, kết hợp chăm sóc vệ sinh răng miệng đúng cách sẽ giúp bạn giữ gìn hàm răng khỏe mạnh lâu dài.
Chăm sóc đúng cách không chỉ giúp phục hồi chức năng của răng mà còn bảo vệ toàn bộ cấu trúc răng miệng khỏi các tác nhân gây hại trong môi trường sinh hoạt hàng ngày.

Đến nha khoa để trám răng, lấy tủy hoặc bọc sứ tùy mức độ tổn thương
Điều trị nha khoa là biện pháp tối ưu nhất để xử lý tình trạng nhức răng có lỗ một cách triệt để. Tùy theo mức độ tổn thương của răng, bác sĩ nha khoa sẽ lựa chọn phương pháp phù hợp như trám răng cho những lỗ nhỏ, lấy tủy (điều trị tủy) cho những lỗ sâu nặng hoặc bọc sứ để bảo vệ răng đã mòn vẹt, suy yếu.
Quá trình trám răng giúp phục hồi hình dạng răng, ngăn ngừa vi khuẩn xâm nhập sâu hơn. Lấy tủy là phương pháp giúp loại bỏ nhiễm trùng đã lan rộng, tránh gây đau đớn kéo dài và các biến chứng nguy hiểm. Trong trường hợp răng bị tổn thương nặng, bọc sứ không chỉ giúp bảo vệ mà còn đảm bảo thẩm mỹ cho hàm răng của bạn.
Giữ vệ sinh răng miệng đúng cách, hạn chế đồ ngọt và khám răng định kỳ
Chăm sóc vệ sinh răng miệng đúng cách là yếu tố then chốt trong việc phòng tránh nhức răng có lỗ tái phát. Bạn cần chải răng đúng kỹ thuật ít nhất 2 lần mỗi ngày, dùng chỉ nha khoa để làm sạch mảng bám giữa các kẽ răng, đồng thời sử dụng nước súc miệng phù hợp để tiêu diệt vi khuẩn.
Hạn chế tiêu thụ đồ ngọt là một điều kiện thiết yếu vì đường là môi trường thuận lợi để vi khuẩn phát triển, gây sâu răng và hình thành lỗ. Thăm khám nha khoa định kỳ 6 tháng/lần là cách tốt nhất để phát hiện sớm các vấn đề răng miệng, từ đó có giải pháp xử lý kịp thời, duy trì sức khỏe răng miệng tốt nhất.
Xem thêm: Cách vệ sinh răng miệng hiệu quả khi niềng răng
Tổng kết
Như vậy, cách trị nhức răng có lỗ không chỉ đơn thuần là những biện pháp giảm đau tạm thời mà còn liên quan đến việc phòng ngừa, chăm sóc lâu dài nhằm đảm bảo sức khỏe răng miệng toàn diện. Việc hiểu rõ nguyên nhân gây bệnh giúp bạn lựa chọn phương pháp phù hợp, từ đó kiểm soát tốt các triệu chứng trong giai đoạn cấp tính và có kế hoạch điều trị chuyên nghiệp khi cần thiết. Hãy luôn ý thức duy trì thói quen vệ sinh răng miệng đúng cách, hạn chế nguồn thức ăn chứa nhiều đường, đồng thời khám nha khoa định kỳ để phòng tránh những biến chứng nguy hiểm. Duy trì răng miệng khỏe mạnh không chỉ giúp bạn tự tin hơn trong cuộc sống mà còn góp phần nâng cao chất lượng cuộc sống của chính mình.

Tìm hiểu ngay cách trị nhức răng có lỗ tại nhà hiệu quả và mẹo phòng ngừa tái phát – đồng thời đặt lịch khám để được chăm sóc răng miệng an toàn và trọn vẹn hơn.
Hotline: 0936.996.609
Fanpage: https://www.facebook.com/nhakhoadrgreen
Website: nhakhoadrgreen.vn
Hệ thống Nha khoa Dr Green:
- 40B Lạch Tray, Ngô Quyền, Hải Phòng
- HDS11 Vinhomes Marina, Lê Chân, Hải Phòng
- 38 Tân Dương, Thủy Nguyên, Hải Phòng
- 43 Trần Phú, Cẩm Phả, Quảng Ninh












