
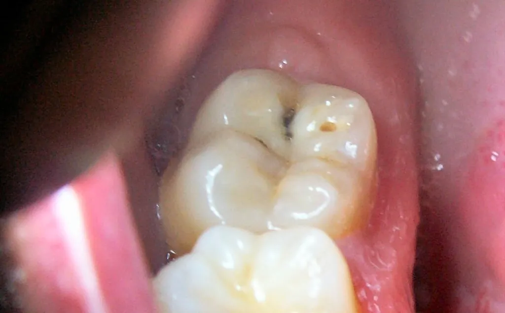
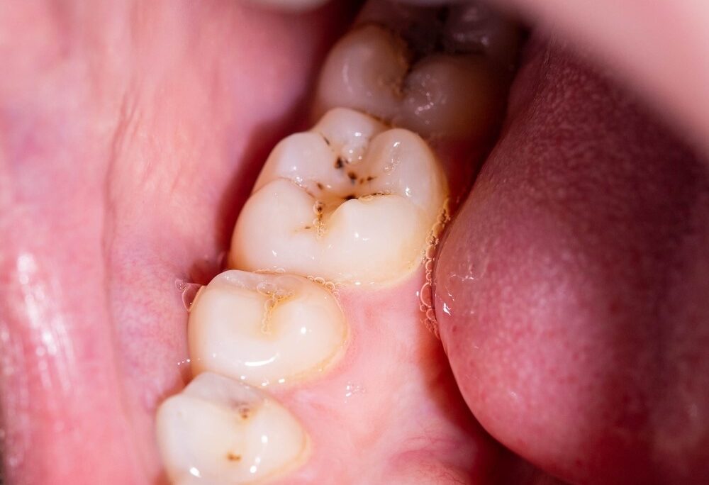
Sâu răng nhẹ là một trong những biểu hiện nhẹ nhất của bệnh sâu răng. Chính vì thế mà chúng ta có thể khó nhận biết được

Sâu răng là căn bệnh răng miệng phổ biến nhiều người bị hiện nay. Đặc biệt căn bệnh này đang ngày càng xảy ra nhiều hơn ở

Hôi miệng là tình trạng hơi thở có mùi xảy ra ở cả người lớn và trẻ nhỏ. Thậm chí hiện tượng này nhiều trẻ đã bị

Tam giác đen là thuật ngữ chỉ việc xuất hiện những kẽ hở khu vực cổ chân răng. Mặc dù nhiều người gặp phải nhưng không phải

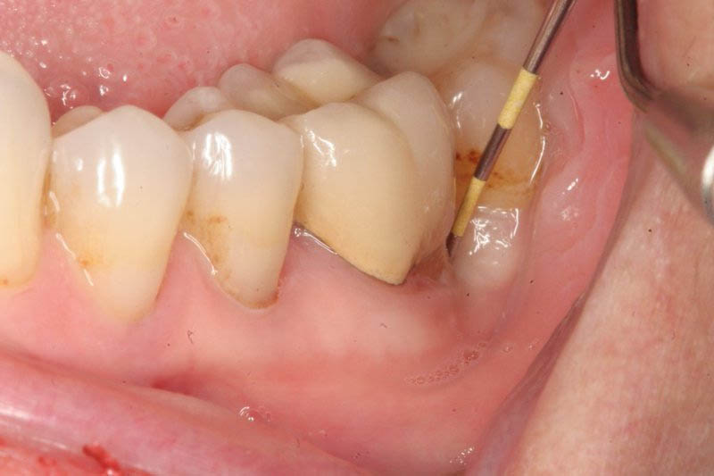
Khi sinh hoạt hàng ngày, chúng ta thường gặp tình trạng đau nhức răng và gây khó chịu. Lúc này, chúng ta thường sẽ nghĩ đến việc

Hiện nay, hiện tượng còn chân răng sau khi nhổ là hiện tượng nhiều người bị nhất. Đây là hiện tượng mà cấu trúc răng bị gãy